Ötən ilin yanvar-noyabr aylarında 2022-ci ilin müvafiq dövrü ilə müqayisədə ölkədə qarayara, ağciyər vərəmi ilə xəstələnmə halları azalıb. SİA xəbər verir ki, bu barədə Dövlət Statistika Komitəsinin məlumatında qeyd edilib.
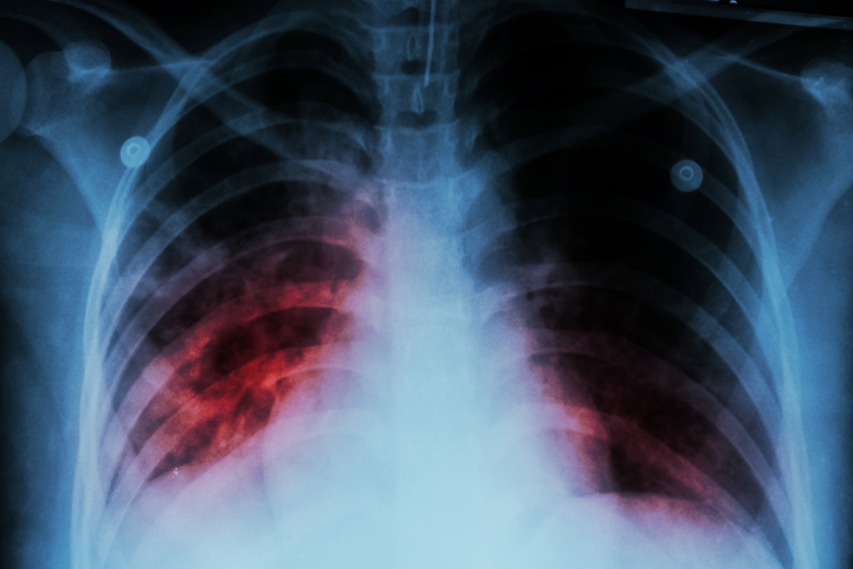
Səhiyyə Nazirliyin məlumatlarına əsasən, 2023-cü ilin yanvar-noyabr aylarında 2022-ci ilin müvafiq dövrü ilə müqayisədə ölkədə qarayara ilə (39,1 faiz), ağciyər vərəmi ilə (4,2 faiz), törədicisi müəyyən olmayan kəskin bağırsaq infeksiyaları ilə (0,8 faiz), sifilis ilə (0,4 faiz) xəstələnmə halları azalıb.
Həmçinin qeyd edilib ki, göyöskürək və malyariya xəstəlikləri, kəskin poliomielit, epidemik parotit, tulyaremiya, anadangəlmə məxmərək sindromu, difteriya, yenidoğulmuşlarda tetanus isə ümumiyyətlə qeydə alınmayıb.
Bütün xəbərlər Facebook səhifəmizdə




USD
EUR
GBP
RUB