Врачи из тайваньской больницы испытали шок, когда установили причину болей, от которых страдала 20-летняя пациентка. Дело в том, что они обнаружили в ее желудке 10-сантиметровую авторучку.
Как сообщает Shanghaiist, в одну из тайваньских больниц обратилась 20-летняя девушка с жалобами на боли в области желудка. В ходе беседы врачи выяснили, что пациентка, у которой ранее было диагностировано депрессивное расстройство, страдает от неприятных ощущений на протяжении шести месяцев.
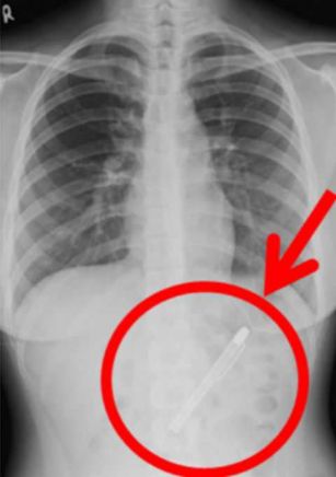
Заподозрив серьезную патологию, специалисты направили больную на рентгенографию, объяснив ей, что это исследование поможет им установить причину недомогания, и, как следствие, поставить правильный диагноз и назначить лечение. Однако, как выяснилось позже, они сильно ошибались в своих прогнозах - вместо признаков заболевания желудка медики увидели инородный предмет.

А после более внимательного изучения снимков с изумлением поняли, что странный объект не что иное, как авторучка.
Врачи не стали скрывать, что увиденное поразило их, поскольку им еще не доводилось сталкиваться с подобными случаями.

После определения причины длительных болей девушка была в срочном порядке доставлена в операционную. К счастью, хирургам удалось извлечь 10-сантиметровую письменную принадлежность и не травмировать при этом ткани и сосуды.


Проводивший обследование 20-летней пациентки врач сообщил журналистам, что если бы она обратилась за медицинской помощью хотя бы месяцем позже, то все могло бы закончиться перитонитом (воспаление брюшины) и даже летальным исходом, ставшим следствием перфорации желудка.
Отвечая на вопрос представителей местных СМИ, каким образом авторучка оказалась в желудке девушки, медики сказали, что, вероятнее всего, она проглотила ее, находясь в состоянии сильного алкогольного опьянения.
Иногда люди десятилетиями носят в себе более опасные предметы и при этом остаются в добром здравии. Так, ранее на FederalPost сообщалось о любителе татуировок, который 40 лет носил в себе иглу, сломавшуюся во время нанесения рисунка.
Fedpost.ru
Bütün xəbərlər Facebook səhifəmizdə

USD
EUR
GBP
RUB