48-летний итальянец был доставлен в отделение неотложной помощи больницы после того, как стал участником ДТП. По прибытии пациента в больницу врачи были озадачены тем, что не могут послушать его сердце при помощи стетоскопа.
Итальянские врачи были крайне озадачены, не найдя у попавшего к ним после аварии пациента сердце. Тщательно обследовав грудную клетку мужчины они обнаружили, что центральный орган кровеносной системы находится в необычном месте, пишет Mail Online.
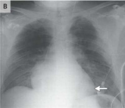
Сделав пациенту рентген и компьютерную томографию медики выяснили, что его сердце перевернулось на 90 градусов и переместилось в правую часть груди. Они также отметили, его аорта и легочная артерия была повернута вправо.

Мужчина также получил многочисленные переломы ребер, коллапс легкого, синяки на обоих легких и разрыв селезенки. Тем не менее, несмотря на все полученные травмы, он оставался в сознании. Единственным признаком проблем с сердцем было небольшое падение кровяного давления и небольшое увеличение частоты его сердечных сокращений.
Доктор Грегори Фонтана, председатель отдела кардиохирургии в больнице Ленокс Хилл в Нью-Йорке, который не принимал участия в лечении итальянца, выдвинул свою теорию относительно произошедшего. Он считает, что сердце сместилось и перевернулось в течение минуты после аварии. По его словам, это крайне необычный случай, а еще более удивительным является то, что пациент находился в сознании, несмотря на столь существенные повреждения.

Медик предложил, что повреждение легких мотоциклиста, возможно, привело к тому, что воздух просочился в его грудную клетку. По словам Фонтаны, воздух мог стать причиной того, что сердце сместилось вправо.
Удивительно, но несмотря на пережитую ужасную травму, сердце мужчины вернулось в свое нормальное положение на следующий день, сообщают врачи из Университета Падуи, Италия.
"После того, как воздух был удален из грудной клетки пациента, его сердце вернулось в свое нормальное положение", - заявили представители больницы, где проходил лечение мотоциклист.
Удивительно, но дальнейшие исследования показали, что центральный орган кровообращения мужчины не пострадал, ни один из кровеносных сосудов не был порван, а клапаны функционируют нормально.
Fedpost.ru
Bütün xəbərlər Facebook səhifəmizdə

USD
EUR
GBP
RUB